Hampir satu abad yang lalu, tepatnya tahun 1930, kasus penyakit akibat paparan asbes atau Asbestos Related Disease (ARD) pertama kali tercatat dalam sejarah. Pasien yang terdampak adalah dua buruh wanita di pabrik kain asbes. Buruh pertama terpapar selama 8 tahun sedangkan buruh kedua terpapar selama 6 dan 13 bulan.
Dalam perkembangannya, para peneliti kemudian terdorong untuk menelusuri lebih jauh tentang bahaya paparan serat asbes di tempat kerja. Pada 2016, World Health Organization (WHO) dan International Labour Organization (ILO) menerbitkan laporan pada 2016 bahwa lebih dari 200.000 buruh secara global setiap tahunnya meninggal dunia.
Di Indonesia, salah satu temuan mengenai ARD terdapat dalam riset yang dilakukan Anna Suraya (2020) berjudul Asbestos-Related Lung Cancer: A Hospital-Based Case-Control Study in Indonesia. Temuan riset yang dilakukan di RS Persahabatan itu menyatakan, sebanyak 360 orang dari total subjek 696 orang yang terpapar serat asbes mengalami peningkatan risiko terkena kanker paru.
Dari 360 orang tersebut, ditemukan bahwa jumlah paparan asbes secara kumulatif sebesar 10 serat per tahun atau lebih, dapat meningkatkan risiko kanker paru sebanyak tiga kali lipat. Serat per tahun adalah satuan ukuran yang digunakan dalam epidemiologi dan kesehatan kerja untuk menghitung dosis kumulatif paparan suatu zat di tubuh manusia.
Artinya, jika nilai kandungan paparan asbes dalam tubuh seseorang sebesar 10 serat per tahun, maka dapat meningkatkan risiko kanker paru secara signifikan. Entah paparannya intens dalam waktu singkat atau ringan dalam waktu yang sangat lama.
Mengapa Asbes Berbahaya
Asbes adalah mineral berserat yang tersusun dari magnesium-silikat dengan sifat fisiknya yang kuat, tahan panas, dan tahan terhadap bahan kimia lainnya. Ditambah, harganya yang murah mendorong masyarakat untuk memilih asbes sebagai bahan bangunan ekonomis. Namun dibalik sifat dan harganya yang murah, asbes justru menyimpan zat penyebab kanker atau karsinogen bagi tubuh manusia.
Krisotil, amosit, antofilit, krosidolit, tremolit, dan aktinolit merupakan berbagai jenis dari padanan asbes yang berisiko meningkatkan kanker paru-paru karena kandungan zat karsinogen di dalamnya. Pada 1987, International Agency for Research on Cancer (IARC) telah mengelompokan keenam jenis asbes ini sebagai bahan yang berbahaya bagi kesehatan manusia.
Peningkatan risiko kanker akibat asbes dapat dipengaruhi oleh jenis mineral dan intensitas paparan. Selain itu, menurut WHO (2014) tidak pernah ada batasan yang aman terkait dosis paparan serat asbes agar tidak menimbulkan peningkatan risiko terkena kanker paru.
Ukuran serat asbes sangat kecil, dengan rata-rata diameter kurang dari 3 mikrometer yang mana jauh lebih tipis dari sehelai rambut manusia. Serat ini terdiri dari fibril mikroskopis yang bisa terlepas dan terhirup manusia. Sifat fisiknya yang kuat menyebabkan serat asbes bertahan di paru-paru selama bertahun-tahun.

“Asbes itu kan definisi dari magnesium-silikat dalam berbagai bentuk dan disebut asbes kalau seratnya a, b, c, d (jenis asbes) dan ternyata semuanya karsinogen. Fiber-fibernya itu menyebabkan karsinogen,” ujar Anna Suraya, ahli okupasi paru ketika ditemui Diakronik di Jakarta, Rabu (26/10/25).
Selain dari ukurannya, jenis serat asbes juga berpengaruh pada masa laten kanker. Krosidolit memiliki serat yang berbentuk seperti jarum dan menusuk sehingga lebih cepat menimbulkan kanker dibandingkan krisotil yang berbentuk keriting.
Hal ini sejalan dengan apa yang dinyatakan Thamrin & Akhadi (2004) dalam artikel Dampak Radiologis Pelepasan Serat Asbes bahwa krosidolit, amosite, dan krisotil memiliki karakteristik tersendiri. Krosidolit memiliki ketahanan tinggi terhadap asam, amosite mengandung kadar besi yang tinggi, sedangkan krisotil bersifat lentur dan kuat sehingga dapat dipintal sebagai bahan tekstil berupa kain asbes.
Lebih lanjut, Thamrin dan Akhadi memaparkan terdapat kandungan radioakif dalam mineral asbes yang ditambang, seperti Uranium-238 (U-238), Torium-232 (Th-232), Radium-226 (Ra-226), dan Kalium-40 (K-40). Radionuklida seperti U-238, Th-232, dan Ra-226 terikat kuat dalam matrik batuan dan kerak bumi sehingga produk dari asbes dapat berperan sebagai sumber radiasi lingkungan.
Ancaman ARD Bagi Tubuh Manusia
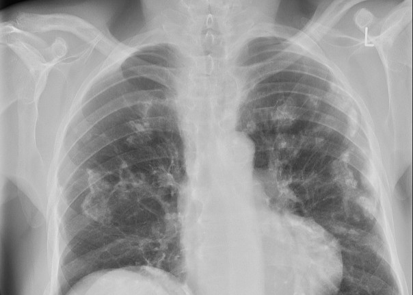
Penyakit akibat paparan asbes atau Asbestos Related Diseases (ARD) dikelompokkan menjadi dua, yakni jinak dan ganas. Pada kelompok jinak, penyakitnya adalah asbestosis, plak pleura, dan penebalan pleura. Sedangkan untuk kelompok ganas terdiri dari penyakit kanker, baik itu kanker paru, mesothelioma, kanker rahim, dan kanker testis.
Asbestosis disebabkan oleh akumulasi paparan serat asbes yang ditandai dengan adanya pengerasan jaringan parut atau fibrosis di paru-paru. Plak pleura adalah bercak akibat paparan asbes yang terjadi di selaput paru. Sedangkan, penebalan pleura adalah penebalan lapisan dinding pada selaput paru.
Mesothelioma, sebagai jenis penyakit dari kelompok ganas, adalah jenis kanker langka yang menyerang selaput pelindung organ dalam, seperti selaput paru, lapisan rongga perut, dan lapisan jantung. Ia disebut langka karena hanya muncul akibat paparan asbes.
Jika menyerang lapisan paru-paru, terjadi penumpukan cairan di rongga selaput paru. Jika menyerang lapisan rongga perut, muncul rasa sakit yang disertai benjolan di area perut. Sedangkan jika menyerang lapisan jantung, umumnya ditemui nyeri dada dan kesulitan bernafas.
Setiap penyakit ARD memiliki waktu kemunculan penyakitnya sendiri. Ade Dwi Lestari, dkk (2023) dalam artikel Occupational Asbestos Related Diseases in Indonesia: A Call for Urgent Action and Awareness menyebutkan ketika pertama kali seseorang terpapar asbes, butuh waktu 10 sampai 70 tahun untuk gejala penyakit muncul di tubuh manusia.
Pada tingkat lebih lanjut, seseorang yang mengidap ARD dapat mengalami keganasan penyakit yang biasanya terjadi dalam kurun 20 sampai 50 tahun. Hal ini dapat meningkatkan potensi seseorang terkena penyakit ARD kategori kelompok ganas seiring memburuknya penyakit.

Lebih jelasnya, perbedaan mendasar dari setiap penyakit asbes ada pada tingkat keagresifannya. Pada kelompok jinak, tingkat paparan serat asbes yang rendah pada tubuh manusia membuat sel kanker belum bertumbuh dengan baik. Sedangkan pada kelompok ganas, sel kanker tumbuh subur karena tingkat paparan serat asbes yang tinggi.
Proses keganasan ini terjadi lantaran sifat fisik serat asbes yang tahan lama. Sehingga ketika terhirup dan menetap di paru-paru, pembersihan yang dilakukan sistem imun tubuh tidak dapat berjalan maksimal. Lambat laun, kemungkinan bagi DNA dan kromosom untuk mengalami kerusakan tidak terhindarkan. Hal inilah yang membuat sel kanker tumbuh.
Kategori penyakit antara kelompok jinak dan ganas bukan mengartikan bahwa mereka terpisah. Samara, dkk (2020) dalam artikel Mesothelioma Akibat Inhalasi Debu Asbes memaparkan bahwa asbestosis dapat menjadi pemicu penyakit lanjutan seperti mesothelioma.
Setali tiga uang, Anna juga berpendapat ARD adalah penyakit yang saling terkait satu sama lainnya, di mana mesothelioma adalah penyakit yang paling ganas. Bagi pasien yang terpapar, tidak menutup kemungkinan untuk kemudian berkembang menjadi kanker.
“Mesothelioma itu yang paling ganas, artinya dia sel yang terus berkembang biak dan memakan tubuh inang. Ada asbestosis yang jadi kanker ada juga yang tidak. Namun risiko menjadi kanker tetap ada meskipun telah berhenti terpapar,” jelas Anna.

Tanpa adanya fibrosis atau penyakit paru lainnya, asbes juga dapat menyerang organ lain selain pernapasan, termasuk organ reproduksi seperti ovarium dan testis. Salah satu kasusnya pernah terjadi di Amerika Serikat pada 2016.
Dikutip dari Klikdokter (2017), kasus ini berisi 1.700 gugatan konsumen terhadap perusahaan Johnsons & Johnsons atas produk bedak mereka yang ternyata mengandung asbes. Salah satu korban bernama Lois Slemp, wanita asal Virginia, mengaku mengidap kanker ovarium sejak 2012.
Menanggapi itu, Ade Dwi Lestari, dokter okupasi paru, menjelaskan bahwa kanker ovarium yang disebabkan material asbes dapat terjadi karena kontak langsung dengan bedak yang mengandung asbes dengan intensitas waktu paparan yang panjang.
“Termasuk yang tadi ovarium, dia masuk lewat bedak, karena sering kelaminnya dikasih bedak. Kan zaman dulu kita juga gitu ya, karena selain itu juga kehirup ya, jadi batuk,” ujar Ade saat ditemui Diakronik, Jumat (28/11/2025).
Serat Asbes Mustahil Hancur di Tubuh
Paparan asbes diawali dengan terhirupnya serat asbes yang berukuran mikroskopis. Serat yang berdiameter 0,5 sampai 5 mikrometer itu lolos dari saringan bulu hidung dan saluran pernapasan atas, kemudian akan tersimpan di ruang alveoli dan bronkioli pada organ paru.
Melalui sistem imun paru-paru bernama makrofag alveolar, serat asbes yang tersimpan itu akan dibersihkan dengan zat asam atau disebut sebagai fagositosis. Namun, karena sifat fisik serat asbes yang kuat, sistem pertahanan tubuh akan mengalami hambatan untuk membersihkan serat asbes.
Selama proses pembersihan tersebut, serat asbes dapat tersebar ke bagian paru lainnya, termasuk ke lapisan selaput paru. Selama pembersihan, makrofag akan terluka karena sifat fisik serat asbes yang kuat.
Perlukaan yang berkelanjutan dan aktivasi makrofag yang terus terjadi memicu respons inflamasi atau peradangan. Peradangan ini, jika berlangsung selama bertahun-tahun dapat mengakibatkan pengerasan jaringan parut atau fibrosis.
Fibrosis yang terjadi di paru ini kemudian dikenal sebagai asbestosis. Kemunculan fibrosis juga menjadi penanda awal gejala ARD karena penurunan fungsi paru. Sedangkan serat asbes yang masuk ke selaput paru, dapat menyebabkan plak pleura hingga mesothelioma.
Selain itu, gejala lain yang bisa dikenali adalah adanya pembulatan ujung jari atau clubbing finger serta bibir yang berwarna kebiruan. Ujung jari tangan atau kaki yang semula normal, mengalami pembekakan yang membuat kuku menjadi melengkung. Gejala ini adalah ciri khas bagi seseorang yang kekurangan suplai oksigen di tubuhnya.
Rusaknya berbagai jaringan organ tubuh manusia akibat paparan serat asbes menandakan betapa berbahayanya asbes jika terhirup saluran pernapasan. Sifat fisiknya yang kuat, membuat berbagai organ dan sistem pertahanan tubuh saling bekerja sama untuk melawannya. Walaupun begitu, serat mikroskopis asbes hampir mustahil untuk dihancurkan oleh sistem pertahanan tubuh.
Kompleksitas Masalah Penanganan ARD
Ade Dwi Lestari, dokter spesialis okupasi paru, menceritakan bahwa gejala ARD muncul setelah adanya fibrosis. Pasien yang terpapar akan mengalami batuk berkepanjangan, nyeri dada, serta penurunan berat badan. Fungsi paru-paru yang menurun karena fibrosis berimbas pada kurangnya suplai oksigen di tubuh.
“Ada yang batuk, sesak, dan kurus karena kekurangan oksigen. Kuman TBC gampang masuk karena setiap hari saluran nafasnya terpapar sama asbes jadi proteksi saluran nafasnya juga kurang,” ujarnya ketika ditemui Diakronik di Fakultas Kedokteran Universitas Trisakti, Jakarta, Jumat (28/11/25).
Ade, yang juga salah satu pengajar di kampus tersebut menambahkan bahwa tiap kelompok ARD memiliki waktu perkembangannya sendiri. Untuk kelompok jinak, masa perkembangan penyakitnya adalah 10 tahun, sedangkan kelompok ganas 20 tahun. Untuk itu, gejala ARD tidak akan muncul secara langsung pada masa awal paparan.
“Kalau secara teori, yang ganas itu rata-rata 20 tahun setelah terpajan. Tapi kalau yang jinak, dia bisa 10 tahun,” tambahnya.

Untuk penanganan ARD, pasien akan menjalani wawancara medis, pemeriksaan, dan perawatan. Wawancara medis dilakukan untuk memastikan riwayat paparan asbes yang bersumber dari lingkungan kerja atau nonkerja. Pada tahap pemeriksaan, dokter akan melakukan tes radiologi serta tes fungsi paru pada pasien.
Pemeriksaan radiologi menggunakan Computed Tomography Scan (CT-Scan), High Resolution Computed Tomography (HRCT), atau ILO Radiograf. Untuk pasien yang dikonfirmasi mengalami paparan tetapi tidak menunjukkan adanya gejala, ILO Radiograf digunakan sebagai pemeriksaan awal.
“Jika sudah parah akan terlihat dengan ronsen biasa. Namun kalau masih dini, dengan ILO Radiograf. ILO Radiograf itu khusus untuk (pemeriksaan) penyakit karena debu-debu mineral, contohnya asbes, silika, dan batubara,” terang Ade.
Ade juga menegaskan bahwa pasien ARD tidak dapat disembuhkan, sehingga perawatan yang dilakukan bersifat simtomatik atau hanya bertujuan untuk meredakan gejala sakit.
“Pasien-pasien yang tadi sudah didiagnosis asbes itu cuma simtomatik aja pengobatannya. Jadi kalau dia sesak, kasih obat. Jadi untuk meredakan gejala aja ya kasih obat, bantu untuk meredakan gejala,” tegasnya.
Di sisi lain, minimnya pengetahuan terkait ARD di kalangan dokter membuat diagnosis asbes kerap kali mengalami kebuntuan. Menurut Ade, tak jarang adanya kejadian misdiagnosis di mana pasien ARD divonis mengidap tuberkulosis atau TBC.
“Jadi sering under diagnosis atau misdiagnosis dengan TBC, yang paling sering dengan TBC, karena lokasinya kan TBC di atas (paru), ini asbes sebenarnya di bawah (paru),” ujarnya.
Anna Suraya, ahli okupasi paru menyebut misdiagnosis pada pengidap ARD membuatnya tidak mendapatkan penanganan yang tepat. Ia menceritakan situasi ini terjadi karena tidak adanya standarisasi penanganan yang jelas untuk penyakit ARD.

“Jadi misalnya kita diagnosis ARD, mereka pulang ke rumah, kontrol ke rumah sakit terdekat, di RS-nya didiagnosis TBC lagi. Tapi di diagnosis rontgennya TBC, kan nanti dilihat lagi gen TBC-nya, (ternyata) gak ada gen TBC nya,” ujar Anna saat ditemui, Rabu, (26/11/2025).
Standarisasi yang dimaksud ialah aturan teknis pada Peraturan Menteri Kesehatan (Permenkes) Nomor 11 Tahun 2022 tentang Pelayanan Kesehatan Penyakit Akibat Kerja yang muncul terlambat dalam merespons fenomena bahaya ARD di Indonesia. Walau sebetulnya, teknis aturan ini belum secara spesifik mengatur standarisasi penanganan ARD.
Kegagapan pemerintah ini jadi salah satu faktor besar pada minimnya kapasitas dokter di Indonesia dalam menangani pasien ARD. Menurut Anna, masalah ini perlu menjadi program pemerintah agar perhatian para dokter, khususnya spesialis okupasi paru lebih meningkat.
“Tapi kemarin saya rapat di Kementerian Kesehatan, Kemenkes minta buka data dari beberapa RS, ada gak ARD, katanya udah ada yang laporin, udah banyak. Ya, memang harus jadi program pemerintah dulu agar dokter aware (mengetahui),” ujar Anna.
Anna menyebut belum ada data terkait jumlah dokter yang memiliki kapasitas untuk menangani ARD. Oleh karena itu, lanjutnya, pemerintah perlu membuat program pelatihan untuk para dokter agar dapat memahami cara penanganan ARD dengan tepat. Terutama jika jenis penyakit yang ditangani ialah kanker langka seperti mesothelioma.
Ia mengungkapkan pasien yang mengeluhkan batuk berkepanjangan dan tak kunjung sembuh sering didiagnosis sebagai abnormalitas paru. Padahal kesadaran tenaga medis, ketersediaan fasilitas dan alat kesehatan memerankan kunci penting dalam penanganan ARD.
“Sebetulnya kalau hanya untuk kanker paru dan asbestosis kita (fasilitas dan alat kesehatan) bisa. Tapi untuk mesothelioma agak susah karena dia khusus gitu dan berarti dokter perlu dilatih. Kita butuh dokter yang bisa ngirim (pasien),” ujar Anna.
Sumber Paparan ARD
Anna menjelaskan bahwa paparan di lingkungan kerja dapat terjadi di tambang dan pabrik pengolah asbes. Biasanya, bahan mentah asbes di pabrik pengolahan sudah berbentuk butiran halus seperti tepung. Hal ini menyebabkan serat debu asbes mudah beterbangan di udara dan terhirup oleh manusia.
“Di pabrik, asbes itu datang dalam bentuk tepung kemudian diolah. Banyak bahan kimia yang berakhir (menjadi) kanker paru karena dia organ yang paling terbuka. Jadi semua yang beracun dan masuk lewat hidung, saringan pertamanya ya di paru-paru,” ujar Anna.
Anna juga mengungkapkan, walaupun para buruh dilengkapi dengan Alat Pelindung Diri (APD) saat bekerja di pabrik asbes, tidak serta merta ancaman kanker hilang begitu saja. Hal tersebut hanya berdampak pada penundaan masa perkembangan kanker pada tubuh para buruh pabrik asbes.
“Tapi bersamaan dengan diberlakukannya cara kerja aman, ketika kita (buruh) mengolah krisotil dengan perlindungan, tidak menganulir kemampuan dia (asbes) untuk menyebabkan kanker dan penyakit,” ungkap Anna.

Selain di tempat kerja, paparan asbes juga dapat terjadi di lingkungan nonkerja. Sumber paparannya berasal dari berbagai produk yang tersebar di masyarakat, seperti atap asbes, kampas rem kendaraan, dan penyambung pipa.
Ketika produk-produk itu rusak, maka serat asbes yang terkandung di dalamnya akan beterbangan ke udara. Salah satunya adalah atap asbes yang memiliki kandungan asbes sebesar 8 persen.
“Kalau di Indonesia kandungan asbes untuk atap itu kan sekitar 8 persen, Amerika dan Singapura maksimal hanya 1 persen dan tidak bertebaran semena-mena di masyarakat,” jelas Anna.
Sayangnya, sifat ketahanan fisik yang kuat serta dapat dibeli dengan harga murah membuat bahan bangunan asbes menjadi primadona di kalangan masyarakat. Hal ini tentu masalah yang cukup serius, di tengah risiko penyakit yang mengitarinya.
Anna pun menegaskan, selama bahan kimia yang terkandung di dalam asbes telah ditetapkan sebagai karsinogen, maka tidak ada batas aman dari nilai paparannya karena terdapat risiko penyakit yang menyertainya.
Tulisan ini merupakan bagian kedua dalam serial liputan mendalam berjudul Ancaman Endemi Di Balik Bayang-Bayang Asbestos. Serial ini mengurai berbagai permasalahan terkait bahaya material asbes dan menghubungkannya pada kemungkinan endemi dari penyakit akibat asbes atau Asbestos Related Disease (ARD) di Indonesia.